Zahnarztpraxis Ghassan Saleh, Brunnenstr. 42, 40223 Düsseldorf, Servicetelefon: 0211-330363
Fragen & Antworten 1
Wie lange gibt es MIMI® bereits?  MIMI® gibt es bereits seit über 30 Jahren! Das Entscheidende der äußerst Patienten- freundlichen "Schlüssel- Loch- Chirurgie" ist, dass die finale  Bohrung etwas schmäler gestaltet wird als das eigentliche Implantat im Durchmesser ist und mindestens zu Beginn mit sog. Dreikantbohrern (im Gegensatz zu zylindrischen Bohrern) gearbeitet wird. Alte Thesen wie etwa einer sog. "bindegewebigen Einheilung" von Implantaten aufgrund möglicher "Verschleppung von Schleimhautzellen" in die kleine Knochen- Kavität oder sog. "Absterben von Knochenzellen aufgrund einer Knochen- Kompression" wurden  in den letzten Jahrzehnt eindrucksvoll widerlegt. Die Bohrung(en) und die Implantation selbst können sogar  oftmals rein ‚transgingival", d.h. durch die Schleimhaut durchgeführt werden. Ein "Zahnziehen" ist in der Regel eine weitaus unangenehmere Procedur für Patienten wie eine Implantation im  MIMI®- Verfahren. Der Entwickler des Champions- Implants System und Präsident des VIP-ZM (Vereins der innovativ- praktizierenden Zahnmediziner/innen e.V.,  Dr. Armin Nedjat,  hat das MIMI- Verfahren seit etwa 1997 als ein Standardverfahren in der Implantologie etabliert!
2
Wie hoch sind die Erfolgsprognosen bei MIMI® ?  Die MIMI®- Erfolgsprognosen sind - bei korrekter Indikation, Vorgehensweise und dem prothetischem Konzept, dem ‚KIV' (mit standardmäßig- durchgeführten Schnitten und sog. "Aufklappungen") gegenüber mindestens gleichwertig, nach Ansicht weltweit mehrerer tausend Anwender sogar weit überlegen! Die Möglichkeit einer Infektion wird durch die "Schlüssel- Loch- Chirurgie" minimiert.                                                                                                                                                                           Der Patient steht im Mittelpunkt, er wird- in seinem Interesse- über Alternativen (u.a. auch die des konventionellen Vorgehens), Risiken, Kosten aufgeklärt und sicher & langfristig optimal mit biokompatiblem Zahnersatz versorgt!    Interessant ist, dass man allein durch die OP- Technik  MIMI® oft umfangreiche Augmentationen (Knochenaufbauten) vermeiden kann. Auch können z.B. indirekt Sinuslifte über eine spezielle Technik quasi über den etwa 1,3mm Durchmesser breiten Bohrstollen selbst durchgeführt werden, um ca. 2-3mm "Knochen in der Höhe aufbauen" zu können. Doch ganz vermeidbar sind auch solche Knochen- Aufbauten in Einzelfällen auch nicht. Zur guten Diagnostik  und Abklärung kann im Vorfeld einer OP ein 3- dimensionales Röntgenbild  DVT (Digitaler Volumentomograph mit wenig Strahlenbelastung für den Patienten. Kosten, etwa 150 Euro) erforderlich sein. Auch können sog. "navigiert- geführte Implantationen" mit Schablonen durch eine DVT- Diagnostik durchgeführt werden. Und Sie als  Patient haben ein Recht darauf, sich umfassend zu informieren und entsprechend über Risiken, Alternativmöglichkeiten aufgeklärt zu werden.   
3
Kann bei  MIMI® generell auf Knochenaufbauten verzichtet werden?  Nein, denn wo nichts (kein Knochen) ist, kann man auch nichts minimal- invasiv operieren!  Aber: Interessant ist, dass man allein durch die OP- Technik  MIMI® oftmals gänzlich umfangreiche Augmentationen (Knochenaufbauten) vermeiden kann. Auch können z.B. indirekt Sinuslifte über eine spezielle Technik quasi über den etwa 1,3mm Durchmesser breiten Bohrstollen selbst durchgeführt werden, um ca. 2-3mm Knochen "in der Höhe aufbauen" zu können. Somit bleibt festzuhalten: Ganz vermeidbar sind im Einzelfall auch Knochen- Aufbauten im MIMI®- Verfahren auch nicht. Zur guten Diagnostik, Planung  und Abklärung kann im Vorfeld einer OP ein 3- dimensionales Röntgenbild  DVT (Digitaler Volumentomograph mit wenig Strahlenbelastung) für den Patienten- Kosten, etwa 150 Euro) erforderlich sein.                    Auch können dadurch sog. "navigiert- geführte Implantationen" mit Schablonentechnik durchgeführt werden.                             Und Sie als  Patient haben ein Recht darauf, sich umfassend zu informieren und entsprechend über Risiken, Alternativmöglichkeiten aufgeklärt zu werden
4
Sind Keramikimplantate für MIMI® geeignet?  Der Werkstoff, der in den letzten Jahren gerade in der Zahntechnik einen enormen Boom erfuhr, ist ‚Zirkon’, eigentlich Zirkoniumdioxid, ZrO2! Doch Vorsicht: Bereits in den 70er Jahren gab es Aluminiumoxid- Keramik- Implantate, die jedoch- auch nach Jahren- im Knochen fest verankert- durch Dauerbelastung im Knochen brachen bzw. frakturierten. Denn eins müssen Sie wissen: Im Gegensatz zu Metallen und Legierungen ‚altert’ Keramik! Zirkon verliert bereits nach sechs Jahren die Hälfte seiner Festigkeit und man hat in der Tat noch keine Langzeiterfahrungen mit Implantaten, die aus Zirkon bestehen. Deshalb raten viele Kollegen zur Vorsicht; aus werkstofftechnischer Sicht ist und bleibt steriles Titan Grad IV der biologisch- immunologisch- verträglichste und stabilste Werkstoff für Zahnimplantate, Stand 01.03.2011!
5
Funktion & Vorgehensweise von MIMI®  MIMI® basiert auf der modernen, knochenphysiologischen Erkenntnis, dass Knochen durchaus Kompression akzeptiert, ja sogar „progressives Knochentraining“ benötigt: Möglichst ohne systematische Aufklappung des Zahnfleisches und Periostverletzung wird transgingival ein klein- dimensionierter, leicht konischer Knochenschacht gebohrt, durch den ein größer Durchmesser- dimensioniertes, leicht konisches Implantat mit kontrollierter Kraft „hineinkondensiert’ wird. Dadurch wird der umliegende, periimplantärer Knochen „lateral verdichtet“ und das Implantat ist quasi von Beginn an vollends „osseointegriert“.
6
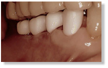
Primärstabilität, Sofortversorgung & Sofortbelastung  Die sog. ‚Primärstabilität’ als eines der wichtigsten Erfolgskriterien einer Implantatbehandlung generell, anzusehen. Wir achten darauf, die sog. Suprakonstruktion entweder innerhalb der ersten 3 bis 12 Tagen oder erst ab der 4-8 Woche nach Implantation- möglichst, zumindest teilweise, verblockt- einzusetzen, da die Wochen 2 bis 8 nach OP die sensibelsten bezüglich Primär- und Sekundärstabilität der Implantate darstellen. Eine Sofortversorgung ist daher nahezu immer möglich, eine Sofortbelastung mit definitivem Zahnersatz bei mehreren, verblockten Pfeilern (Zähne oder Implantate) oft möglich! Der Patienten- Einzelfall in Absprache mit Ihrer Zahnarzt/ Chirurgie-Praxis/Klinik entscheidet! Bei einteiligen Champions wird die ehemalige Zahnlücke zwar sofort versorgt und evtl. mit den Nachbarzähnen temporär, für mindestens acht Wochen mit den Seiteninnenflächen der Nachbarkronen auf "Kein- Kontakt" (auch bei Seit- und Vorwärtsbewegungen) verblockt, um die sog. Primär- in die Sekundärstabilität überführen zu können. Eine gute Patienten- Mitarbeit, gerade bei Einzelzahnimplantaten und bei einteiligen Implantaten (bei denen der Kopf aus dem Zahnfleisch mehr als 3mm herausragt) ist unabdingbar.                             Generell sollte der Patient nur kleinere Belastungen auf diese Provisorien ausüben: "Essen und beißen Sie nur das, was Sie mit der Zunge kleinkriegen!" Ein Bruch eines solchen Einzahnes- Provisoriums kann in den Wochen 2-8 nach OP sogar zu einem Verlust des Implantats führen! Deshalb: Verstehen und verinnerlichen Sie die Grafik und arbeiten "aktiv" am Erfolg Ihrer Versorgung mit!
Das Provisorium wird intraoral, zementfrei und temporär nur auf das Zirkon- Prep- Cap (oder auch nur auf das Titan- Implantat) modelliert und eingeklebt. Erst nach acht Wochen „Wartezeit“ wird das „außer- Kontakt“- geschliffene Provisorium wieder heraus getrennt, die Abformung durchgeführt und die definitive Krone wenige Tage später einzementiert.
Warum nun ist MIMI® so genial, erfolgreich und warum entwickelt sie sich zunehmend als Implantationsmethode der ersten Wahl? Nun, Komplikationen werden fast gänzlich vermieden, da quasi ‚unblutig’ und äußerst gewebeschonend gearbeitet wird.
Das komplette Implantat wird nun langsam und mit viel Fingerspitzengefühl in die unterdimensionierte Knochenkavität eingebracht. Zuerst rein manuell, später mittels kontrolliertem Drehmoment. Für den Patienten ist dieser MIMI- Eingriff höchstens mit einem geringen Knochendruck verbunden. Den Erfolg der Kondensations- Implantation überprüft man mittels hellem Klopfschall und gibt „grünes Licht“ für die verblockende Sofortbelastungsmöglichkeit. 
Entsprechend passende Zirkon-Vollkeramik-Präparations-Käppchen können einzementiert werden-sie sind aber für einen Erfolg einer MIMI-Behandlung nicht unbedingt nötig. Sie erlauben uns Zahnärzten noch in der gleichen Sitzung der schonend- sanfte Implantation, unterschiedliche Pfeilerdivergenzen nach Einzementierung mittels Zahnarzt- Präparation auszugleichen. Dies war immer ein Traum für jeden Zahnarzt: Implantat hinein, die weitere Behandlung erfolgt wie bei einem natürlichen Zahn… Nach der Abformung wird ein Provisorium und oft ein erstes „Bissregistrat“ vorgenommen: Dieses Registrat dient dem Labor als Information, wie der Patient zusammenbeißt (Okklusion).   Auch der Zahntechniker betrachtet nun den Stumpf in der Abformung wie einen natürlichen Zahn, er wird mit Superhartgips ausgegossen. Die Präparations- Grenze kann somit äußerst hygienefähig auch supragingival (über dem Zahnfleischsaum) liegen. Nach außen gerichtete Mikrobewegungen sind durch (möglichst) verblockte Provisorien strikt auszuschließen und zwingen den Patienten zur aktiven Mitarbeit: Keine harten Sachen abbeißen und zermahlen, super Mundhygiene, eventuell mit Chlorhexidin- Spülungen unterstützt.  
Nur vier Tage nach MIMI® erfolgt in diesem Patientenfall die sog. ‚Gerüstanprobe’. Das Gerüst kann auch aus einer Metall- Legierung sein, sollte aber bereits schon die Miniaturform der späteren Arbeit darstellen. Nach zweiter Bissnahme mit dem Gerüst, dass spannungsfrei und ‚passive fit’ auf den Implantaten (hier: Champions®) aufsitzt, erfolgt nach nur weiteren vier Tage später das definitive Einsetzen, ebenfalls mit einem handelsüblichen Glasionomerzement. Ausgeprägte okklusale Höcker- Fissurenreliefs (wie beim Jugendlichen) sind aufgrund von dann erhöhten Seitwärtsbewegungen – und Scherkräften zu vermeiden.   Vieles ist in der modernen Medizin möglich, aber nicht alles nötig und vernünftig!
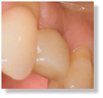
Kaum sichtbar: Eine MIMI-Bohrung
Home Was ist MIMI ? Media Kontakt Impressum MIMI ® Minimal-Invasive Methodik der Implantation MIMI ® Minimal-Invasive Methodik der Implantation Ihr Spezialist für MIMI®-Implantologie
Zahnarztpraxis
aleh
Ghassan